Esto le puede pasar a tus PULMONES si te contagias de Covid-19
  • Inicio
  • BLOG ANTICORRUPCIÓN
  • POLITICA
  • NOTICIAS
  • OPINIÓN
  • MEMEPOLITICA
  • DEPORTES
  • ENTRETENIMIENTO
  • VIRAL
  • MÚSICA
  • GEEK
  • Inicio
  • BLOG ANTICORRUPCIÓN
  • POLITICA
  • NOTICIAS
  • OPINIÓN
  • MEMEPOLITICA
  • DEPORTES
  • ENTRETENIMIENTO
  • VIRAL
  • MÚSICA
  • GEEK

POLITICA

  • Acusa el PAN que vídeo de SOBORNOS a panistas es una cortina de humo
  • Acusa Gil Zuarth que AMLO usa la MAÑANERA como ´patibulario de linchamiento´
  • Avanza la RECONSTRUCCIÓN de viviendas por sismo de 2017
  • CAPRICHOS de Calderón incluían tener 8 veleros de la MARINA a su entera disposición
  • Mexicanos mantienen APROBACIÓN de AMLO INTACTA; se mantiene en 71.1%: Encuesta
    • Acusa el PAN que vídeo de SOBORNOS a panistas es una cortina de humo
      Acusa el PAN que vídeo de SOBORNOS a panistas es una cortina de humo
    • Acusa Gil Zuarth que AMLO usa la MAÑANERA como ´patibulario de linchamiento´
      Acusa Gil Zuarth que AMLO usa la MAÑANERA como ´patibulario de linchamiento´
    • Avanza la RECONSTRUCCIÓN de viviendas por sismo de 2017
      Avanza la RECONSTRUCCIÓN de viviendas por sismo de 2017
    • CAPRICHOS de Calderón incluían tener 8 veleros de la MARINA a su entera disposición
      CAPRICHOS de Calderón incluían tener 8 veleros de la MARINA a su entera disposición
    • Mexicanos mantienen APROBACIÓN de AMLO INTACTA; se mantiene en 71.1%: Encuesta
      Mexicanos mantienen APROBACIÓN de AMLO INTACTA; se mantiene en 71.1%: Encuesta

    ANTICORRUPCIÓN

    • Marcha Anti-AMLO vuelve a hacer el RIDÍCULO el fin de semana y chocan en Nuevo León
    • Alcalde de Calnali, Hidalgo, paga jugoso sueldo a su mamá pese a estar prohibido por la ley
    • Rocío Sánchez Azuara rompe el silencio y revela detalles de su salida de Televisa
    • Usuarios exhiben a azafata de Aeroméxico que pide magnicidio en contra de AMLO.
    • Van por tres servidores públicos de la MH por denuncia de corrupción: Corruptel
      • Marcha Anti-AMLO vuelve a hacer el RIDÍCULO el fin de semana y chocan en Nuevo León
        Marcha Anti-AMLO vuelve a hacer el RIDÍCULO el fin de semana y chocan en Nuevo León
      • Alcalde de Calnali, Hidalgo, paga jugoso sueldo a su mamá pese a estar prohibido por la ley
        Alcalde de Calnali, Hidalgo, paga jugoso sueldo a su mamá pese a estar prohibido por la ley
      • Rocío Sánchez Azuara rompe el silencio y revela detalles de su salida de Televisa
        Rocío Sánchez Azuara rompe el silencio y revela detalles de su salida de Televisa
      • Usuarios exhiben a azafata de Aeroméxico que pide magnicidio en contra de AMLO.
        Usuarios exhiben a azafata de Aeroméxico que pide magnicidio en contra de AMLO.
      • Van por tres servidores públicos de la MH por denuncia de corrupción: Corruptel
        Van por tres servidores públicos de la MH por denuncia de corrupción: Corruptel

      NOTICIAS

      • Esto le puede pasar a tus PULMONES si te contagias de Covid-19
      • Conoce cómo piratean PERFUMES de MARCA que se venden en Tepito
      • Asegura Gómez Leyva que AMLO INVITÓ a delinquir al fiscal Gertz
      • Pleito entre comuneros deja planta de agua destruida; ´Las PROVOCACIONES están a la orden del día´
      • Anuncia AMLO otra MEGA obra con el Tren del Istmo de Tehuantepec
        • Esto le puede pasar a tus PULMONES si te contagias de Covid-19
          Esto le puede pasar a tus PULMONES si te contagias de Covid-19
        • Conoce cómo piratean PERFUMES de MARCA que se venden en Tepito
          Conoce cómo piratean PERFUMES de MARCA que se venden en Tepito
        • Asegura Gómez Leyva que AMLO INVITÓ a delinquir al fiscal Gertz
          Asegura Gómez Leyva que AMLO INVITÓ a delinquir al fiscal Gertz
        • Pleito entre comuneros deja planta de agua destruida; ´Las PROVOCACIONES están a la orden del día´
          Pleito entre comuneros deja planta de agua destruida; ´Las PROVOCACIONES están a la orden del día´
        • Anuncia AMLO otra MEGA obra con el Tren del Istmo de Tehuantepec
          Anuncia AMLO otra MEGA obra con el Tren del Istmo de Tehuantepec

        OPINIÓN

        • Cuando el ESTADO también tiene miedo
        • Ebrard, pieza clave para llegada de vacuna contra covid-19
        • Reacciona Lilly Téllez ante revelaciones de LOZOYA: ´Bola de corruptos´
        • Diputado suplente del PAN es DENUNCIADO por abuso sexual
        • Periodistas recapacitan y ABANDONAN asociación “Mexicanos Contra la Corrupción”
          • Cuando el ESTADO también tiene miedo
            Cuando el ESTADO también tiene miedo
          • Ebrard, pieza clave para llegada de vacuna contra covid-19
            Ebrard, pieza clave para llegada de vacuna contra covid-19
          • Reacciona Lilly Téllez ante revelaciones de LOZOYA: ´Bola de corruptos´
            Reacciona Lilly Téllez ante revelaciones de LOZOYA: ´Bola de corruptos´
          • Diputado suplente del PAN es DENUNCIADO por abuso sexual
            Diputado suplente del PAN es DENUNCIADO por abuso sexual
          • Periodistas recapacitan y ABANDONAN asociación “Mexicanos Contra la Corrupción”
            Periodistas recapacitan y ABANDONAN asociación “Mexicanos Contra la Corrupción”

          MEMEPOLITICA

          • Más de 300 sacerdotes abusaron sexualmente de más de mil niños y niñas, revela informe.
          • Encuentran pesticida que provoca cáncer en varios cereales para niños.
          • Modelo de Louis Vuitton asesina con un cuchillo a compañero por celos.
          • Turquía declara la guerra comercial a EU; duplica aranceles.
          • Una joven se resiste a una violación grupal y los agresores la desfiguran a golpes.
            • Más de 300 sacerdotes abusaron sexualmente de más de mil niños y niñas, revela informe.
              Más de 300 sacerdotes abusaron sexualmente de más de mil niños y niñas, revela informe.
            • Encuentran pesticida que provoca cáncer en varios cereales para niños.
              Encuentran pesticida que provoca cáncer en varios cereales para niños.
            • Modelo de Louis Vuitton asesina con un cuchillo a compañero por celos.
              Modelo de Louis Vuitton asesina con un cuchillo a compañero por celos.
            • Turquía declara la guerra comercial a EU; duplica aranceles.
              Turquía declara la guerra comercial a EU; duplica aranceles.
            • Una joven se resiste a una violación grupal y los agresores la desfiguran a golpes.
              Una joven se resiste a una violación grupal y los agresores la desfiguran a golpes.

            DEPORTES

            • “Lo único que tengo son pacas de dinero, así se paga en el boxeo”, presume Chávez Jr
            • Si es culpable Ana Guevara, no habrá ´TAPADERA´: AMLO; pide NO JUZGAR anticipadamente
            • Juez ordena el ASEGURAMIENTO de las oficinas de Cooperativa Cruz Azul en la CDMX
            • ¡Ya salió el peine! Confirma cooperativista que Cruz Azul recibía millonadas por perder títulos
            • La vez que José Ramón Fernández HUMILLÓ a Inés Sainz en TV Azteca
              • “Lo único que tengo son pacas de dinero, así se paga en el boxeo”, presume Chávez Jr
                “Lo único que tengo son pacas de dinero, así se paga en el boxeo”, presume Chávez Jr
              • Si es culpable Ana Guevara, no habrá ´TAPADERA´: AMLO; pide NO JUZGAR anticipadamente
                Si es culpable Ana Guevara, no habrá ´TAPADERA´: AMLO; pide NO JUZGAR anticipadamente
              • Juez ordena el ASEGURAMIENTO de las oficinas de Cooperativa Cruz Azul en la CDMX
                Juez ordena el ASEGURAMIENTO de las oficinas de Cooperativa Cruz Azul en la CDMX
              • ¡Ya salió el peine! Confirma cooperativista que Cruz Azul recibía millonadas por perder títulos
                ¡Ya salió el peine! Confirma cooperativista que Cruz Azul recibía millonadas por perder títulos
              • La vez que José Ramón Fernández HUMILLÓ a Inés Sainz en TV Azteca
                La vez que José Ramón Fernández HUMILLÓ a Inés Sainz en TV Azteca

              ENTRETENIMIENTO

              • Cynthia Klitbo sale en defensa de “La Gaviota” y desmiente a Kate del Castillo, esto le dijo
              • Preocupa Mía Khalifa luego de aparecer en unas fotos “luciendo” su cuerpo
              • A pesar de que su madre murió de covid, Bosé llama a manifestarse contra el cubrebocas
              • Andrea Legarreta o Pedrito Sola como ¿maestros en CLASES a DISTANCIA? Esto dijo la SEP
              • Rating de La Voz México se habría DESPLOMADO tras anunciar ROMANCE de Belinda y Christian Nodal
                • Cynthia Klitbo sale en defensa de “La Gaviota” y desmiente a Kate del Castillo, esto le dijo
                  Cynthia Klitbo sale en defensa de “La Gaviota” y desmiente a Kate del Castillo, esto le dijo
                • Preocupa Mía Khalifa luego de aparecer en unas fotos “luciendo” su cuerpo
                  Preocupa Mía Khalifa luego de aparecer en unas fotos “luciendo” su cuerpo
                • A pesar de que su madre murió de covid, Bosé llama a manifestarse contra el cubrebocas
                  A pesar de que su madre murió de covid, Bosé llama a manifestarse contra el cubrebocas
                • Andrea Legarreta o Pedrito Sola como ¿maestros en CLASES a DISTANCIA? Esto dijo la SEP
                  Andrea Legarreta o Pedrito Sola como ¿maestros en CLASES a DISTANCIA? Esto dijo la SEP
                • Rating de La Voz México se habría DESPLOMADO tras anunciar ROMANCE de Belinda y Christian Nodal
                  Rating de La Voz México se habría DESPLOMADO tras anunciar ROMANCE de Belinda y Christian Nodal

                VIRAL

                • Pide Bárbara de Regil hamburguesa sin pan y desata los MEMES redes sociales
                • Mujer “regaña” a trabajadora doméstica para una BROMA en Tik Tok y recibe críticas en redes
                • “Nunca imaginé que estaría luchando por respirar”, mujer da su TESTIMONIO antes de MORIR
                • Cámaras de seguridad captan a dos OVNIS volando sobre cráter del Popocatépetl
                • Mujer le hace broma a su empleada doméstica y le tunden en redes (VIDEO)
                  • Pide Bárbara de Regil hamburguesa sin pan y desata los MEMES redes sociales
                    Pide Bárbara de Regil hamburguesa sin pan y desata los MEMES redes sociales
                  • Mujer “regaña” a trabajadora doméstica para una BROMA en Tik Tok y recibe críticas en redes
                    Mujer “regaña” a trabajadora doméstica para una BROMA en Tik Tok y recibe críticas en redes
                  • “Nunca imaginé que estaría luchando por respirar”, mujer da su TESTIMONIO antes de MORIR
                    “Nunca imaginé que estaría luchando por respirar”, mujer da su TESTIMONIO antes de MORIR
                  • Cámaras de seguridad captan a dos OVNIS volando sobre cráter del Popocatépetl
                    Cámaras de seguridad captan a dos OVNIS volando sobre cráter del Popocatépetl
                  • Mujer le hace broma a su empleada doméstica y le tunden en redes (VIDEO)
                    Mujer le hace broma a su empleada doméstica y le tunden en redes (VIDEO)

                  MUSICA

                  • Causa INDIGNACIÓN asesinato de Carlos, quien trabajaba en un Oxxo y murió en un asalto
                  • ¿Adiós amor? Cristian Nodal borra de sus redes sociales TODAS las fotos con Belinda
                  • Gobierno le da ayuda por Covid-19 y se compra un Lamborghini; lo cachan y lo arrestan
                  • Aprueba Congreso de la CDMX que las terapias de CONVERSIÓN sexual sean delito
                  • Esta es la LUJOSÍSIMA casa de Alejandro Fernández en Puerto Vallarta
                    • Causa INDIGNACIÓN asesinato de Carlos, quien trabajaba en un Oxxo y murió en un asalto
                      Causa INDIGNACIÓN asesinato de Carlos, quien trabajaba en un Oxxo y murió en un asalto
                    • ¿Adiós amor? Cristian Nodal borra de sus redes sociales TODAS las fotos con Belinda
                      ¿Adiós amor? Cristian Nodal borra de sus redes sociales TODAS las fotos con Belinda
                    • Gobierno le da ayuda por Covid-19 y se compra un Lamborghini; lo cachan y lo arrestan
                      Gobierno le da ayuda por Covid-19 y se compra un Lamborghini; lo cachan y lo arrestan
                    • Aprueba Congreso de la CDMX que las terapias de CONVERSIÓN sexual sean delito
                      Aprueba Congreso de la CDMX que las terapias de CONVERSIÓN sexual sean delito
                    • Esta es la LUJOSÍSIMA casa de Alejandro Fernández en Puerto Vallarta
                      Esta es la LUJOSÍSIMA casa de Alejandro Fernández en Puerto Vallarta

                    GEEK

                    • UNAM desarrolla técnica para detectar el covid-19 en AGUAS NEGRAS
                    • ¿Cuánto costará en México el cubrebocas inteligente que alertará sobre brotes de covid-19?
                    • Estudiantes mexicanos crean CUBREBOCAS TRANSPARENTE y CUESTA solamente 50 pesos
                    • Mexicano crea APP para ENCONTRAR tu CELULAR aunque esté APAGADO
                    • El cubrebocas TRANSPARENTE de alta seguridad que NO se EMPAÑA y MATA al coronavirus
                      • UNAM desarrolla técnica para detectar el covid-19 en AGUAS NEGRAS
                        UNAM desarrolla técnica para detectar el covid-19 en AGUAS NEGRAS
                      • ¿Cuánto costará en México el cubrebocas inteligente que alertará sobre brotes de covid-19?
                        ¿Cuánto costará en México el cubrebocas inteligente que alertará sobre brotes de covid-19?
                      • Estudiantes mexicanos crean CUBREBOCAS TRANSPARENTE y CUESTA solamente 50 pesos
                        Estudiantes mexicanos crean CUBREBOCAS TRANSPARENTE y CUESTA solamente 50 pesos
                      • Mexicano crea APP para ENCONTRAR tu CELULAR aunque esté APAGADO
                        Mexicano crea APP para ENCONTRAR tu CELULAR aunque esté APAGADO
                      • El cubrebocas TRANSPARENTE de alta seguridad que NO se EMPAÑA y MATA al coronavirus
                        El cubrebocas TRANSPARENTE de alta seguridad que NO se EMPAÑA y MATA al coronavirus
                      Martes, 18 de agosto del 2020

                      Martes, 18 de agosto del 2020

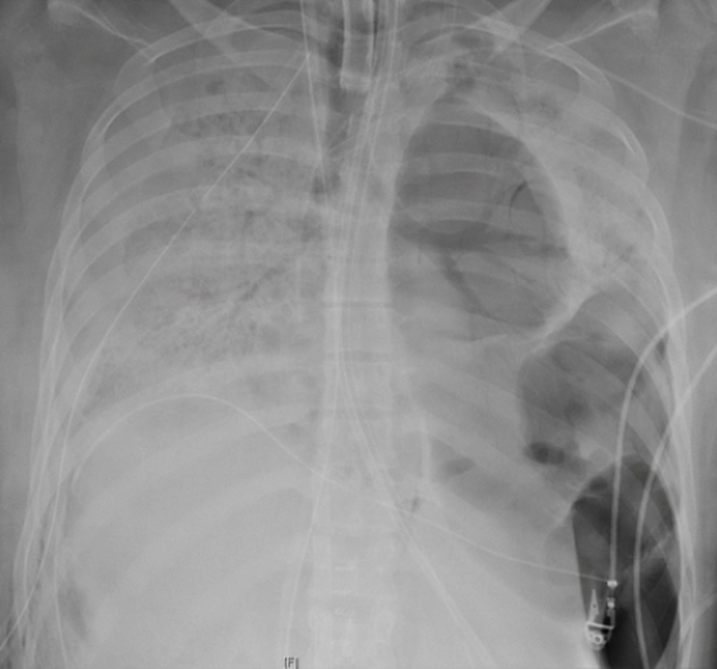
                      Esto le puede pasar a tus PULMONES si te contagias de Covid-19

                      Esto le puede pasar a tus PULMONES si te contagias de Covid-19



                      Redacción

                      El Covid-19 llegó y sorprendió a todos, sin conocimiento de qué era y cómo funcionaba, hoy sabemos lo que le puede hacer a tus pulmones.

                      Hay pacientes que tras padecer la enfermedad se recuperan sin secuelas aparentes, pero también hay casos de personas que resultan con daños severos y permanentes en los pulmones, que incluso requieren un trasplante pulmonar.

                      Lo que ya es bien sabido es que este coronavirus ingresa al cuerpo mediante las vías respiratorias, genera infección y por ende inflamación lo que activa el sistema inmune.

                      Dependiendo de si la enfermedad se presenta de manera leve o grave, las vías respiratorias pueden tener menor o mayor afectación. En la forma leve se inflama la parte superior del aparato respiratorio, lo que provoca dolor de garganta, estornudos y en ocasiones fiebre.

                      Cuando la enfermedad se vuelve grave es porque ha llegado a lo más profundo del aparato respiratorio: los pulmones.




                      "Cuando eso ocurre, inflama el tejido pulmonar y causa también algunos daños en la circulación microscópica de los pulmones y puede obstruir lo vasos sanguíneos microscópicos de los pulmones en forma difusa, en forma generalizada. Cuando eso ocurre, la zona en donde ocurre el intercambio de oxígeno por bióxido de carbono, que está al interior de los pulmones, deja de funcionar, ya no puede cambiar ese oxígeno por bióxido de carbono y entonces la sangre ya no se puede oxigenar, y éste es el daño que puede resultar en una situación fatal", explicaba el subsecretario de Salud, Hugo López-Gatell, en la conferencia sobre coronavirus del 18 de abril.

                      Ese daño pulmonar "agudo" implica diferentes tipos de daños: uno por inflamación y otro por obstrucción de los vasos sanguíneos.

                      "Esta neumonía, este daño pulmonar, es lo que conduce a que las personas con covid grave necesiten un apoyo respiratorio, porque de otra manera no pueden cumplir el funcionamiento respiratorio y eso finalmente es lo que puede llevar a condiciones graves y fatales", agregaba López-Gatell.

                      Ese proceso inflamatorio a nivel pulmonar durante la enfermedad es lo que puede desencadenar en un daño permanente en los pulmones, que lleve, incluso, a que el paciente requiera un trasplante.

                      Trasplante de pulmón

                      Cirujanos del hospital Northwestern Medicine en Chicago, Estados Unidos, realizaron su primer trasplante de doble pulmón a una paciente, cuyos pulmones fueron dañados irreversiblemente por el coronavirus.




                      La joven hispana de 20 años, quien se encontraba sana antes de ser diagnosticada con coronavirus a finales de abril, pasó seis semanas en la unidad especial del hospital, conectada a un ventilador, una máquina de soporte vital que hace el trabajo del corazón y los pulmones.

                      Los médicos esperaron casi dos meses a que el cuerpo de la paciente estuviera libre del virus y sus otros órganos estables para enfrentarse al trasplante.

                      El Northwestern Medicine compartió una imagen de uno de los pulmones extraídos a la joven en las 10 horas que duró la cirugía del trasplante. El daño es evidente: "El virus había causado múltiples perforaciones en sus pulmones y prácticamente se había fusionado a la pared torácica", detalló el médico Ankit Bharat, quien realizó la cirugía.




                      Así se ven los pulmones de un paciente con coronavirus A finales de marzo, el Hospital de la Universidad George Washington alertaba sobre la inflamación pulmonar ante el covid-19 y los daños irreparables que podía provocar.

                      "Cuando esa inflamación no disminuye con el tiempo, se convierte esencialmente en cicatrices en los pulmones, creando daños a largo plazo… Podría afectar la capacidad de alguien para respirar a largo plazo", explicaba el doctor Keith Mortman, jefe de Cirugía Torácica en el Hospital GW.

                      En una entrevista para el podcast del hospital, llamado HealthCast, el médico presentó el caso de un paciente de 50 años, que fue recibido en el hospital el 18 de marzo con covid-19.

                      "Fue trasladado de otro hospital después de que sus síntomas iniciales (fiebre, tos, falta de aliento) aumentaron rápidamente. Estaba conectado a un ventilador en ese hospital, pero eventualmente requirió una intervención más intensiva", detalló.

                      El GW Hospital está utilizando la tecnología de Realidad Virtual (VR) en la lucha contra covid-19. La tecnología VR permite al equipo médico ver los pulmones del paciente afectado por el coronavirus. "Existe un marcado contraste entre el pulmón anormal infectado por el virus y el tejido pulmonar adyacente más saludable", dijo el Dr. Mortman.

                      "Y es un contraste tal que no necesita una especialidad para comprender las imágenes. Esto es algo que el público en general puede analizar y realmente comenzar a comprender qué tan grave es la cantidad de daño que está causando el tejido pulmonar. El daño que estamos viendo no está aislado en ninguna parte del pulmón. Es un daño severo en ambos pulmones de manera difusa", explicaba.




                      "Mortman dijo que alrededor del 20 por ciento de los que contraen covid-19 desarrollan síntomas y una parte de ellos desarrollan síntomas graves que finalmente requieren asistencia mecánica para respirar. Si bien los informes de los medios sugieren que el riesgo de síntomas graves es más frecuente entre los adultos mayores, el doctor Mortman señala que las personas más jóvenes también están en riesgo, ya que un número cada vez mayor de ellos están hospitalizados. E incluso aquellos que nunca desarrollan síntomas pueden transmitir el virus a otras personas con quienes entran en contacto, incluidos vecinos, padres y abuelos", informó el hospital.

                      Con información de Milenio


                      • La nueva estafa que lucra con la desgracia y la baja autoestima: “Sectas Coaching”
                        POLITICA
                        La nueva estafa que lucra con la desgracia y la baja autoestima: “Sectas Coaching”
                      • Veracruz: Hunden una varilla y dieron con la fosa más grande de México; ya llevan 287 cuerpos.
                        COMUNIDAD
                        Veracruz: Hunden una varilla y dieron con la fosa más grande de México; ya llevan 287 cuerpos.
                      • El Cártel del Golfo y funcionarios de Pemex controlan el robo de combustible: Rolling Stone.
                        POLITICA
                        El Cártel del Golfo y funcionarios de Pemex controlan el robo de combustible: Rolling Stone.

                      Martes, 18 de agosto del 2020

                      Esto le puede pasar a tus PULMONES si te contagias de Covid-19



                      Redacción

                      El Covid-19 llegó y sorprendió a todos, sin conocimiento de qué era y cómo funcionaba, hoy sabemos lo que le puede hacer a tus pulmones.

                      Hay pacientes que tras padecer la enfermedad se recuperan sin secuelas aparentes, pero también hay casos de personas que resultan con daños severos y permanentes en los pulmones, que incluso requieren un trasplante pulmonar.

                      Lo que ya es bien sabido es que este coronavirus ingresa al cuerpo mediante las vías respiratorias, genera infección y por ende inflamación lo que activa el sistema inmune.

                      Dependiendo de si la enfermedad se presenta de manera leve o grave, las vías respiratorias pueden tener menor o mayor afectación. En la forma leve se inflama la parte superior del aparato respiratorio, lo que provoca dolor de garganta, estornudos y en ocasiones fiebre.

                      Cuando la enfermedad se vuelve grave es porque ha llegado a lo más profundo del aparato respiratorio: los pulmones.




                      "Cuando eso ocurre, inflama el tejido pulmonar y causa también algunos daños en la circulación microscópica de los pulmones y puede obstruir lo vasos sanguíneos microscópicos de los pulmones en forma difusa, en forma generalizada. Cuando eso ocurre, la zona en donde ocurre el intercambio de oxígeno por bióxido de carbono, que está al interior de los pulmones, deja de funcionar, ya no puede cambiar ese oxígeno por bióxido de carbono y entonces la sangre ya no se puede oxigenar, y éste es el daño que puede resultar en una situación fatal", explicaba el subsecretario de Salud, Hugo López-Gatell, en la conferencia sobre coronavirus del 18 de abril.

                      Ese daño pulmonar "agudo" implica diferentes tipos de daños: uno por inflamación y otro por obstrucción de los vasos sanguíneos.

                      "Esta neumonía, este daño pulmonar, es lo que conduce a que las personas con covid grave necesiten un apoyo respiratorio, porque de otra manera no pueden cumplir el funcionamiento respiratorio y eso finalmente es lo que puede llevar a condiciones graves y fatales", agregaba López-Gatell.

                      Ese proceso inflamatorio a nivel pulmonar durante la enfermedad es lo que puede desencadenar en un daño permanente en los pulmones, que lleve, incluso, a que el paciente requiera un trasplante.

                      Trasplante de pulmón

                      Cirujanos del hospital Northwestern Medicine en Chicago, Estados Unidos, realizaron su primer trasplante de doble pulmón a una paciente, cuyos pulmones fueron dañados irreversiblemente por el coronavirus.




                      La joven hispana de 20 años, quien se encontraba sana antes de ser diagnosticada con coronavirus a finales de abril, pasó seis semanas en la unidad especial del hospital, conectada a un ventilador, una máquina de soporte vital que hace el trabajo del corazón y los pulmones.

                      Los médicos esperaron casi dos meses a que el cuerpo de la paciente estuviera libre del virus y sus otros órganos estables para enfrentarse al trasplante.

                      El Northwestern Medicine compartió una imagen de uno de los pulmones extraídos a la joven en las 10 horas que duró la cirugía del trasplante. El daño es evidente: "El virus había causado múltiples perforaciones en sus pulmones y prácticamente se había fusionado a la pared torácica", detalló el médico Ankit Bharat, quien realizó la cirugía.




                      Así se ven los pulmones de un paciente con coronavirus A finales de marzo, el Hospital de la Universidad George Washington alertaba sobre la inflamación pulmonar ante el covid-19 y los daños irreparables que podía provocar.

                      "Cuando esa inflamación no disminuye con el tiempo, se convierte esencialmente en cicatrices en los pulmones, creando daños a largo plazo… Podría afectar la capacidad de alguien para respirar a largo plazo", explicaba el doctor Keith Mortman, jefe de Cirugía Torácica en el Hospital GW.

                      En una entrevista para el podcast del hospital, llamado HealthCast, el médico presentó el caso de un paciente de 50 años, que fue recibido en el hospital el 18 de marzo con covid-19.

                      "Fue trasladado de otro hospital después de que sus síntomas iniciales (fiebre, tos, falta de aliento) aumentaron rápidamente. Estaba conectado a un ventilador en ese hospital, pero eventualmente requirió una intervención más intensiva", detalló.

                      El GW Hospital está utilizando la tecnología de Realidad Virtual (VR) en la lucha contra covid-19. La tecnología VR permite al equipo médico ver los pulmones del paciente afectado por el coronavirus. "Existe un marcado contraste entre el pulmón anormal infectado por el virus y el tejido pulmonar adyacente más saludable", dijo el Dr. Mortman.

                      "Y es un contraste tal que no necesita una especialidad para comprender las imágenes. Esto es algo que el público en general puede analizar y realmente comenzar a comprender qué tan grave es la cantidad de daño que está causando el tejido pulmonar. El daño que estamos viendo no está aislado en ninguna parte del pulmón. Es un daño severo en ambos pulmones de manera difusa", explicaba.




                      "Mortman dijo que alrededor del 20 por ciento de los que contraen covid-19 desarrollan síntomas y una parte de ellos desarrollan síntomas graves que finalmente requieren asistencia mecánica para respirar. Si bien los informes de los medios sugieren que el riesgo de síntomas graves es más frecuente entre los adultos mayores, el doctor Mortman señala que las personas más jóvenes también están en riesgo, ya que un número cada vez mayor de ellos están hospitalizados. E incluso aquellos que nunca desarrollan síntomas pueden transmitir el virus a otras personas con quienes entran en contacto, incluidos vecinos, padres y abuelos", informó el hospital.

                      Con información de Milenio


                      Síguenos en Google News, Clic en la estrella
                      Conoce cómo piratean PERFUMES de MARCA que se venden en Tepito
                      Conoce cómo piratean PERFUMES de MARCA que se venden en Tepito
                      NOTICIAS
                      [...]
                      Asegura Gómez Leyva que AMLO INVITÓ a delinquir al fiscal Gertz
                      Asegura Gómez Leyva que AMLO INVITÓ a delinquir al fiscal Gertz
                      NOTICIAS
                      [...]
                      Pide Bárbara de Regil hamburguesa sin pan y desata los MEMES redes sociales
                      Pide Bárbara de Regil hamburguesa sin pan y desata los MEMES redes sociales
                      VIRAL
                      [...]
                      Acusa el PAN que vídeo de SOBORNOS a panistas es una cortina de humo
                      Acusa el PAN que vídeo de SOBORNOS a panistas es una cortina de humo
                      POLITICA
                      [...]
                      Acusa Gil Zuarth que AMLO usa la MAÑANERA como ´patibulario de linchamiento´
                      Acusa Gil Zuarth que AMLO usa la MAÑANERA como ´patibulario de linchamiento´
                      POLITICA
                      [...]
                      • Esto le puede pasar a tus PULMONES si te contagias de Covid-19
                        NOTICIAS
                        Esto le puede pasar a tus PULMONES si te contagias de Covid-19
                      • Conoce cómo piratean PERFUMES de MARCA que se venden en Tepito
                        NOTICIAS
                        Conoce cómo piratean PERFUMES de MARCA que se venden en Tepito
                      • Asegura Gómez Leyva que AMLO INVITÓ a delinquir al fiscal Gertz
                        NOTICIAS
                        Asegura Gómez Leyva que AMLO INVITÓ a delinquir al fiscal Gertz
                      • Pleito entre comuneros deja planta de agua destruida; ´Las PROVOCACIONES están a la orden del día´
                        NOTICIAS
                        Pleito entre comuneros deja planta de agua destruida; ´Las PROVOCACIONES están a la orden del día´
                      • Anuncia AMLO otra MEGA obra con el Tren del Istmo de Tehuantepec
                        NOTICIAS
                        Anuncia AMLO otra MEGA obra con el Tren del Istmo de Tehuantepec
                      • ¿Cómo y dónde descargar los cuadernos de TRABAJO de la SEP para este regreso a clases?
                        NOTICIAS
                        ¿Cómo y dónde descargar los cuadernos de TRABAJO de la SEP para este regreso a clases?
                      Acusa el PAN que vídeo de SOBORNOS a panistas es una cortina de humo y
                      POLITICA
                      Acusa el PAN que vídeo de SOBORNOS a panistas es una cortina de humo
                      |
                      Más de 300 sacerdotes abusaron sexualmente de más de mil niños y niñas, revela informe.y
                      INTERNACIONAL
                      Más de 300 sacerdotes abusaron sexualmente de más de mil niños y niñas, revela informe.
                      |
                      Acusa el PAN que vídeo de SOBORNOS a panistas es una cortina de humo y
                      POLITICA
                      Acusa el PAN que vídeo de SOBORNOS a panistas es una cortina de humo
                      |
                      “Lo único que tengo son pacas de dinero, así se paga en el boxeo”, presume Chávez Jry
                      DEPORTES
                      “Lo único que tengo son pacas de dinero, así se paga en el boxeo”, presume Chávez Jr
                      |
                      Usuarios organizan marcha para que Thalía abandone las redes sociales.y
                      ESPECTACULOS
                      Usuarios organizan marcha para que Thalía abandone las redes sociales.
                      |
                      Pide Bárbara de Regil hamburguesa sin pan y desata los MEMES redes socialesy
                      VIRAL
                      Pide Bárbara de Regil hamburguesa sin pan y desata los MEMES redes sociales
                      |
                      UNAM desarrolla técnica para detectar el covid-19 en AGUAS NEGRAS
                      GEEK
                      UNAM desarrolla técnica para detectar el covid-19 en AGUAS NEGRAS
                      |